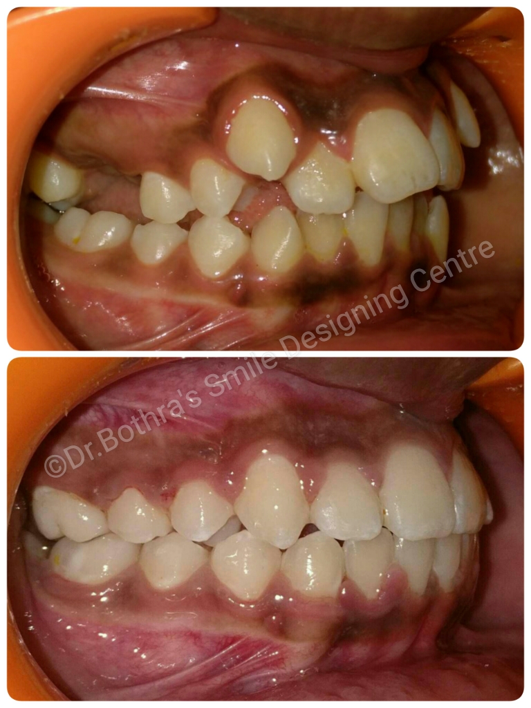
Orthodontics is a branch of dentistry which deals with the treatment of irregularities of the teeth and abnormalities in their relation to the surrounding structures. The technical term for these problems is "malocclusion", which means "bad bite".
The practice of Orthodontics requires advanced training (MDS -3 years of specialization post BDS) and professional skill in the design, application, and control of corrective appliances (Braces) to bring teeth, lips, and jaws into proper alignment and achieve perfect facial balance. An Orthodontist is a dentist with specialized education and training in orthodontics.
So, what are the options?

These are what most people picture when they hear the word "braces." Modern brackets are smaller and less noticeable than the huge brackets from 20-30 years ago.
Pros: Least expensive type; colored bands let you express yourself!
Cons: Most noticeable type of braces.

Ceramic braces are the same size and shape as metal brackets, except that they have brackets that are neutral-colored to blend in to teeth.
Pros: Less noticeable than metal braces; move teeth faster than Invisalign.
Cons: More expensive than metal braces; tooth colored brackets can stain easily if patients don’t care for them well (drinking a lot of red juice, soda, wine, coffee, etc).

Lingual braces are the same as metal braces, except that the brackets and wires are placed on the behind teeth.
Pros: Invisible from outside.
Cons: Difficult to clean; more expensive; not effective for certain severe cases of crooked teeth; can be more irritating at first; regular adjustments take longer and are more difficult than the traditional outside brackets.

Invisalign consists of a series of 18 to 30 custom-made, mouth guard-like clear plastic trays. The tray aligners are removable and are replaced every 2 weeks.
Pros: Almost invisible; Patients can eat and drink almost whatever they want.
Cons: Will not work for serious dental misalignment; they're only available for adults and teens; it is a more expensive option; the trays can be easily lost and costly to replace; and the treatment may take longer. You probably have to have the trays in your mouth for at least 22 hours per day.